
心不全のタイプごとに異なる遺伝的仕組みを解明―ゲノム解析で予後予測に道―
2025.11.10

標的外のタンパク質の付着を防ぐラテックス粒子を合成~精度と信頼性の高い検査キットの開発に期待~
2025.11.10

互助共助コミュニティ型資源回収ステーションの利用で高齢者の要介護リスクが約15%低下
2025.11.07

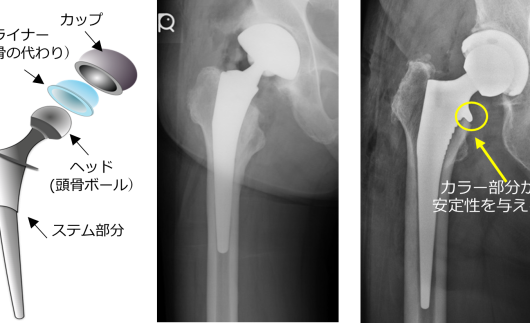
人工股関節全置換術後の骨折予防に新展開?-カラー(襟)付きHAステムの有効性に期待-
2025.10.28

がんの増殖を抑える仕組みを解明〜がんの強力な“ブレーキ役分子”、DA-Rafのメカニズムが明らかに〜
2025.10.27

喘息などのアレルギー疾患が悪化するメカニズムを解明~脂肪分解経路を標的とした新たなアレルギー治療薬の開発に向けて
2025.10.25

【共同リリース】超小型衛星 NinjaSat が異常に短いX線バースト周期を発見― “元祖クロックバースター”の時計に異変―
2025.10.24

【共同リリース】爆発的天体は高エネルギー宇宙のエネルギー源なのか 宇宙ニュートリノ多重事象に対する初めての可視光追観測
2025.10.24

RNAの“書き換え”がDNAを守る!~エピトランスクリプトーム解析が示すゲノム防御の新たな仕組み~
2025.10.23